Top 5 temporaries techniques

Temporaries are an important part of any lab’s technical skill profile. These five techniques will help you improve those skills.

Much of the work dental labs do is meant to last as long as possible-after all, no patient wants to go back to their dentist every three weeks for the rest of their life.

That’s why labs use the best materials and techniques to get the best product possible.

But temporaries require a different sort of focus. Sure, they need to be esthetic and they need to be functional, but they are still what their name implies: temporary.

So how should labs approach this kind of work? How do you provide a good fit and excellent esthetics and still turn something around quickly (and cheaply)? These five techniques demonstrate how lab technicians solved the problem and created satisfied patients.

Up next: An alternative approach

 

An alternative approach to long-term temporaries

By Luke S. Kahng, CDT

Our case study involves a female patient who was missing her lateral teeth, numbers 7 and 10. An implant had been placed on number 10 because the patient sought longevity in the treatment plan. She also wanted esthetically pleasing provisionals for cosmetic reasons since she would be wearing the restorations long-term-for six to nine months.

Our purpose for this article is to demonstrate the best method for fabricating this type of excellent long-term temporization. This type of work is done through the fixed department and is cosmetic in nature.

Click here to read more

 

Step-by-step: Fabricating temporaries with PMMA material

By Luke S. Kahng, CDT

We used to fabricate our temporaries with acrylic by hand, and, for higher end long-term bridges, we would often use composite. This particular case study will explain what PMMA (defined by webopedia.com as “short for polymethylmethacrylate or, more correctly, Poly (methyl methacrylate), PMMA is a clear plastic acrylic material that can be used as a replacement for glass”) is and how we can successfully use the material in the dental world.

We can utilize technology, especially for implants, to create long-term temporaries through the use of a CAD/CAM machine. A good example of what we can use the material for is with a full-mouth implant case scanned and then copy scanned with a wax try-in already set up.

Click here to read more

 

 

Providing immediate esthetics for implant cases

By Chris Halke CAD/CAM Supervisor Albensi Dental Laboratory and Dr. Michael Pikus Director of Clinical Education Albensi Dental Laboratory

Today, immediate implant placement after extraction and immediate temporization is becoming an increasingly popular option for many clinicians.

Implants have revolutionized dentistry and are allowing patients whose only hope 40 years ago would have been to get complete dentures to now be able to have an esthetic and functional fixed prosthetic. Initially, dental implants were placed by oral surgeons, and their restorations were almost entirely undertaken by a prosthodontist. As implant science improved with different surface treatments and an increased scientific body of knowledge about the process of osseointegration, more clinicians started to delve into implant placement and prosthetics.

Click here to read more

 

 

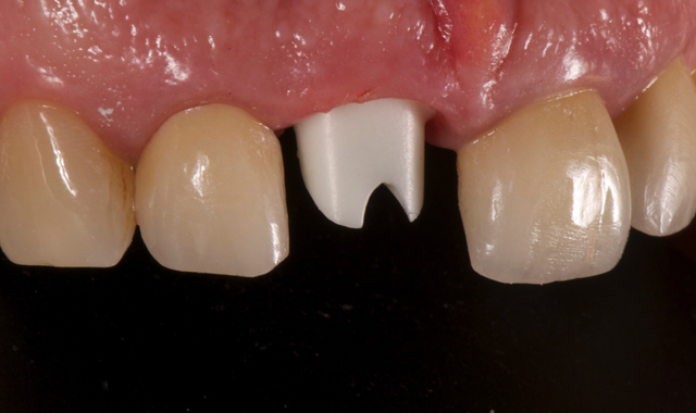
How to place an anterior implant using a digital workflow

By Dr. Francisco Teixeira Barbosa

The patient, a 48-year-old female, is in good general health with no known diseases and not taking any medication. She is a non-smoker with no allergies.

The patient is suffering from the continuous decimation of her crown on the central incisor. Once the crown is removed, we can see that the remaining stump has subgingival margins and the typical appearance of having suffered continued leaks.

Click here to read more

 

 

How to simplify temporaries with Tuff-Temp Plus

By Dr. Horst Dieterich

A prosthetic reconstruction for oral rehabilitation requires a number of clinical and laboratory treatment stages. An interim restoration is necessary and this has a crucial influence on the patient’s well-being, the quality of the final restoration and the long-term success of the treatment.

Essential factors for success in fabrication of fixed restorations include making anatomically correct and hygienic temporaries. Temporary fixed restorations serve to protect the underlying tooth preparation while the final restoration is being fabricated in the laboratory.

Click here to read more