© 2025 MJH Life Sciences™ and Dental Products Report. All rights reserved.
Here’s another look at 5 of the top technique articles published in Dental Products Report® this past year. For more clinical how-tos, go to dentalproductsreport.com.

How to Treat Bruxism: This Gadget Changed Everything for Me
by Christina Cracknell, RDA, with Troy Schmedding, DDS
Featured product: GrindRelief PRO
GrindRelief PRO allows clinicians to immediately begin the diagnostic evaluation to determine if it is the proper treatment and/or long-term prosthesis of choice. Now, anytime a patient comes into the authors’ office with the signs and symptoms of potential bruxism, they can offer the convenience of GrindRelief PRO from Grind Guard Technologies.
Go to bit.ly/BruxismGadget to read more.

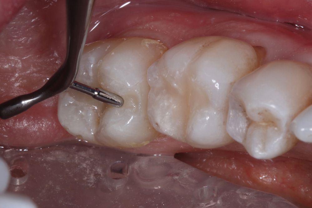
How to Use a Universal Single Shade Composite for a Class II Restoration
by Troy Schmedding, DDS
Featured product: CLEARFIL MAJESTY™ ES-2 Universal Composite
Kuraray Noritake Dental’s CLEARFIL MAJESTY™ ES-2 Universal Composite utilizes light diffusion technology to integrate into the preparation. In an article published in the Journal of Dental Education, Class II resin composite restorations were 10 times more likely to be replaced at no cost to the patient than Class II dental amalgam restorations.1 That said, Class II procedural efficiency and a streamlined workflow should be a priority for every dental practice. This How-To article showcases how effective this universal shade composite is in the hands of the author.
Go to bit.ly/UniversalSingleShade to read more.

How to Enhance the Orthodontic Experience With Propel VPro
by Donna Galante, DMD
Featured product: VPro™
Today, a convenient orthodontic patient experience is paramount, and in return, the demand for clear aligners is growing. Many doctors offering this modality are concerned about predictability, efficiency, profitability, and compliance. For more than 12 years, we have provided clear aligners to our patients and have worked to overcome those concerns.
Go to bit.ly/PropelVPro to read more.

How To Efficiently Create Great Restorations
by Troy Schmedding, DDS
Featured product: The Occlusinator System
Using the Occlusinator from Strauss Diamond, along with its various features, has made posterior restorations more efficient and simpler. When I was in dental school, we learned to create primary and secondary anatomy of the posterior teeth by carving wax blocks according to diagrams in a flip chart. It was very straightforward.
Go to bit.ly/GreatRestorations to read more.

How to Use a Next-Generation Water-Based Solution for Arresting Caries
by Jarod Johnson, DDS
Featured product: Riva Star Aqua from SDI
Untreated decay in the teeth of young children remains a challenge for public health, from both an oral health and a social perspective.
Decay causes a significant strain on the teeth, which can lead to pain or even infection. The problem is more prevalent among low-income families than in those with higher incomes. Silver diamine fluoride (SDF) procedures have been shown to arrest carious lesions 70% of the time, which is an advantage for many patients.1
Go to bit.ly/ArrestingCaries to read more.
Download Issue: Dental Products Report December 2021