© 2025 MJH Life Sciences™ and Dental Products Report. All rights reserved.
Here’s another look at 5 of the top technique articles published in Dental Products Report® this past year.

Here’s another look at 5 of the top technique articles published in Dental Products Report® this past year. For more clinical how-tos, go to dentalproductsreport.com.

How to Use the Medit i700 for a 2-Day Digital Denture Workflow
by Christian Brenes, DDS, MS
Featured product: Medit i700 Intraoral Scanner
The Medit i700 scanner, Medit Link software, exocad, and Roland DWX-52DCi 5-axis mill allow for a completely digital workflow. The case in this article represents the 2-visit delivery of a complete denture using a cloning technique that reduces appointments and clinical time required to deliver a prosthesis. Clinicians can use a Medit i700 intraoral scanner as a reliable tool to scan not only teeth, but also soft tissues and a variety of materials including dental prostheses.
Go to bit.ly/3FUM0Do to read more.

How to Overcome the Hurdles of Restoring Adjacent Class II Composites
by Matthew Burton, DDS
Featured product: VursaWedge
This article demonstrates how clinicians can use the VursaWedge from Young Specialties to provide better contour, proper contact, and improved gingival seal. The unique split-wedge design allows the wings to simultaneously seal both margins of adjacent teeth and lets the wedge body sit low in the embrasure space, ensuring proper matrix contour, emergence, and contact area.
Go to bit.ly/3NPKbcM to read more.

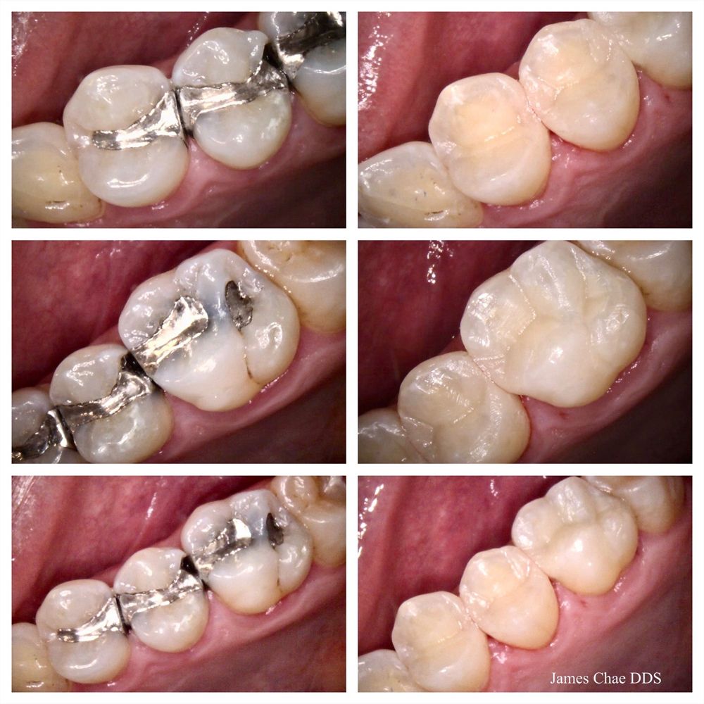
How to Repair Amalgam Restorations With Recurrent Caries
by James Chae, DDS
Featured product: TheraCal LC®
This vital procedure requires a variety of tools and materials, including the light-cured, resin-modified calcium silicate TheraCal LC® from BISCO. A male patient, aged 37 years, presented with failing amalgam restorations with recurrent caries on the upper left premolars (teeth #12 and #13) and first molar (tooth #14). The resulting final restorations have a natural esthetic and blend nicely to the tooth.
Go to bit.ly/3fMGzf9 to read more.

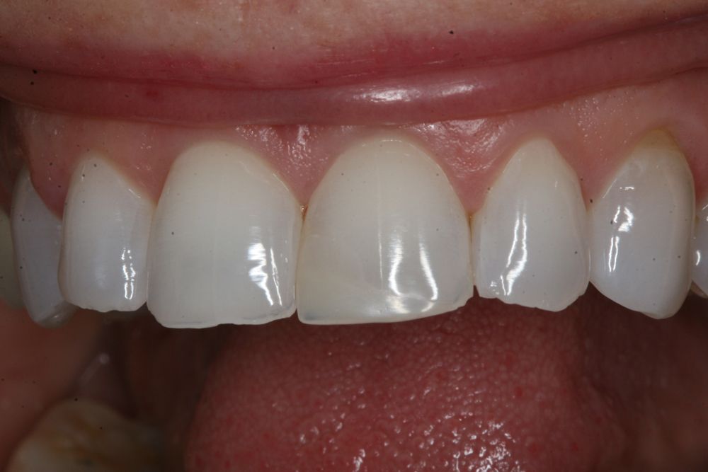
Match Tooth Shade Post Bleaching: Following Up With Restorative Cases
by Robert Rosenfeld, DDS
Featured product: OMNICHROMA
The OMNICHROMA universal composite from Tokuyama Dental America keeps up with patients’ habitual bleaching—29 applications later, the shade still matches. The author explains this dilemma that many restorative dentists eventually face. Dentists who use OMNICHROMA can emphasize to patients who bleach that, because they have used this new material, the likelihood of needing such replacements will be minimized.
Go to bit.ly/3hvpiaU to read more.

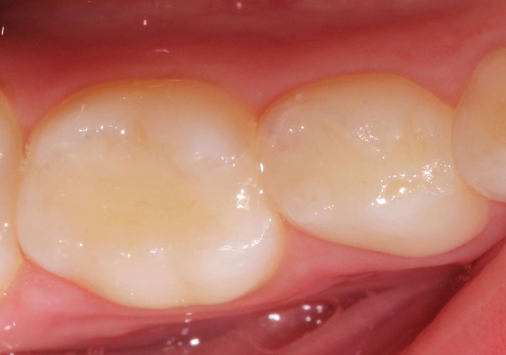
How to Use Composites That Stand the Test of Time for Pediatric Patients
by Carla Cohn, DMD
Featured product: GrandioSO Family of Flowables
Time has given us many dental materials as companies innovate and respond to demands of dentists in the field as well as patients’ needs. In terms of composites, many of these innovations revolve around faster placement for dentists and longer-lasting restorations for patients—the common thread is time. The fact that VOCO’s GrandioSO has lasted 10 years in a competitive marketplace is a testament to its being a fixture in time for practitioners and patients.
Go to bit.ly/3zZgNLD to read more.
Download Issue: Dental Products Report December 2022