The top 5 how-to techniques of 2015

Dental Products Report, Dental Products Report December 2015, Volume 40, Issue 12

This year was a great one for dental resources, including how-to articles, webinars, videos, e-books and more. With the end of the year approaching, we've compiled a list of the top e-books of 2015.

This year was a great one for dental resources, including how-to articles, webinars, videos, e-books and more. With the end of the year approaching, we've compiled a list of the top e-books of 2015.

From pulpal protection to repairing porcelain restorations, this year Dental Products Report offered a range of how-to articles on a variety of topics. Whether you wanted to learn more about Invisalign impressions, restorations or cosmetic cases, DPR had you covered.

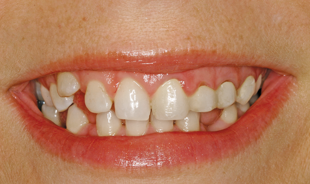
How to repair porcelain restorations instead of replacing them

Avoid patient and practitioner frustration with step-by-step instructions on how to immediately and predictably perform chairside porcelain repairs using composite resin.

Clinical case: A 20-year-old female patient presented with eight porcelain restorations that had been placed two years prior. The incisal edge of the veneer on the central fractured during an accident ...

Click here to read the full clinical case

 

 

How to take accurate photographs and impressions for Invisalign treatment

Photographic and impression records are essential to the success of these endeavors. Therefore, education and practice are necessary to consistently produce accurate and detailed information. With ongoing education, implementing new techniques and procedures can ensure proper protocols are followed, while practice develops ample experience and the ability to adjust to each unique patient.

Click here to read the full clinical case.

 

 

How to cooperatively fix a failed cosmetic case

Taking a comprehensive approach to diagnosing esthetic cases proves an invaluable first step in comprehensively treatment planning even the most seemingly straight forward of cosmetic cases.1,2

Clinical case: The female patient, in her mid-30s, was retreated comprehensively after enduring poorly planned and executed cosmetic dentistry. The combination of dentist/patient communication, comprehensive evaluation and planning and detailed multidisciplinary team coordination allowed her to confidently proceed with a cosmetic treatment ...

Click here to read the full clinical case.

 

 

How to use liner for pulpal protection in restorative dentistry

Liners are frequently used beneath dental restorations to reduce the potential for post-operative sensitivity but take on a much greater role long-term in serving as pulpal protectants.

Clinical case: The patient presents with a mandibular premolar with a large distal carious lesion. The caries were carefully excavated resulting in a deep preparation, especially on the axial wall  …

Click here to read the full clinical case.

 

 

 

How to solve four problems with one workflow

Restoring single molars is a common indication for most clinicians placing implants, but that doesn’t mean it’s straightforward. Here we look at how to overcome four challenges frequently encountered in the posterior region.

Click here to read the full clinical case.