Smooth Transitions
By Sara Kuckhoff, DMD
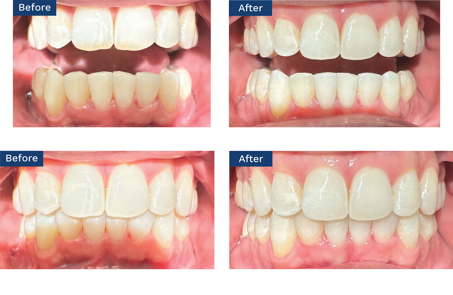
As patient expectations for the esthetic appeal and functional longevity of restorations rise, clinicians’ techniques, protocols, and the materials used to achieve these outcomes leave no margin for error. More and more patients are leaning toward less invasive treatment options to achieve their esthetic goals. In many instances the utilization of composite offers the clinician an opportunity to make significant esthetic and functional changes with minimal, if any, removal of tooth structure. These largely additive treatment plans ensure the clinician is bonding primarily to enamel—which, when paired with appropriate isolation and the manufacturer’s recommended adhesive protocols, can increase the longevity and quality of the esthetic restorations, often exceeding patient expectations.
Different brands of composites, derived from subtle differences in composite chemistry, can and will handle differently. Often handleability is a leading property affecting a clinician’s preference and eventual brand loyalty, all other factors being equal. To mimic the optical properties of natural dentition, multiple layers as well as a variety of composite shades and tints are often required. Regardless of how smooth or stiff a composite feels to the clinician, creating a seamless interface with the natural, unrestored dentition is a challenge not to be taken lightly.
In the past, bonding resin was used to improve the handleability of composites. However, employing bonding resin as a wetting agent can weaken the strength of the enamel bond and lead to staining of the restoration over time. Using wetting resin gives a significant advantage and lacks the disadvantages of bonding resin applied in this manner. Wetting resin’s lubrication properties enable consistent handleability of composites. This facilitates homogeneous blending and more precise sculpting of the composite. With a seamless blend and a defined natural shape, this refined composite restoration gives both patients and clinicians confidence in a long-lasting and beautiful result.
When seeking commercially available wetting resins, low to medium viscosity wetting resins increase ease of use of composite and do not overpower the composite. Providing lubrication without becoming tacky gives clinicians the ability to move the composite easily while sculpting the composite into just the right form. BISCO’s Modeling Resin (Figure 1), when placed onto a paint brush or instrument, enables the creation of a well-defined restoration with seamless transition from composite into the adjacent tooth structure (Figure 2).
Figure 1: BISCO Modeling Resin is available in a syringe delivery system.
Figure 2: The wetting resin can be applied directly to dentition with a brush.
Figure 3: The wetting resin is transparent and does not influence restoration shade.
As seasoned clinicians, we take great pains to ensure the most accurate shade for our patients. For example, verifying the teeth are properly hydrated prior to shade selection is essential, as the shade is as important as the shape in the acceptance of the final restoration by patients.1 Once the shade has been selected, it is important to consider the impact of the wetting resin on the final shade of the restoration. BISCO Modeling Resin is clear and does not influence the final shade or surface properties of the final composite restoration (Figure 3).2 Given its shade-neutral property, Modeling Resin can also dilute intense tints by placement onto an instrument or brush along with some tint to build lifelike characteristics into the final restoration.
Wetting resin plays an important role in building beautiful and long-lived restorations. Patients not only appreciate the confidence in their smile but rest easy knowing that their restoration is of the highest quality. A seamless interface with the natural unrestored dentition is the foundation for this caliber of result. Crafting a properly blended and shade-matched restoration is a complex process, and BISCO’s Modeling Resin enhances a clinician’s ability to consistently deliver beautiful restorations, no matter the height of the patient’s expectation.
References
- Notarantonio, A. E., & McClintock, D. (2022). The Effect of Isolation and Dehydration on Shade Matching. Compendium, 43(5), E9-eE12. https://www.aegisdentalnetwork.com/cced/2022/05/the-effect-of-isolation-and-dehydration-on-shade-matching
- Pereira PL, Pereira R, Silva BG, Lins RB, Lima DA, Aguiar FH. Effect of wetting agent coverage on the surface properties of resin composite submitted to brushing and staining cycles. J Clin Exp Dent. 2021 Aug 1;13(8):e795-e801. doi: 10.4317/jced.58311. PMID: 34512919; PMCID: PMC8412808.


















%20copy.jpg?fit=crop&auto=format)


Download Issue: Dental Products Report June 2024

