Romexis Smart from Planmeca
[Artificial Intelligence Software]
Planmeca Romexis® Smart
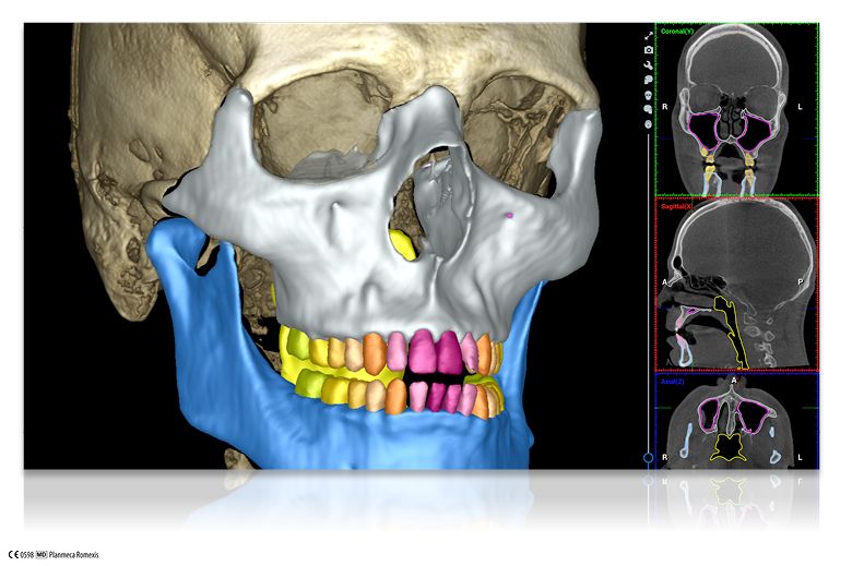
Planmeca Romexis® Smart are artificial intelligence (AI) tools for its Planmeca Romexis software platform. The feature allows the segmentation and recognition of anatomies, such as teeth, nerves, jaws, airways, and sinuses. This enables easier and faster use of the software and excellent visualization of the case for patient education. With the help of AI, CBCT images and intraoral scans are automatically mapped. Thanks to the automatic tooth number recognition, a CBCT volume can be easily navigated just by clicking on the tooth number in the tooth chart, and the software centers all views on the tooth of interest.


_with_module_(SA-40_L)_(front)_Image_003404_00_300dpi.jpg?fit=crop&auto=format)















