As a dentist since 2001 and practice owner since 2010, I consider dental technology my passion. By easing anxiety and thus improving the chair experience for patients, dental technology makes practicing as a dentist so much more enjoyable. Efficiency is an added (and a big) bonus.
The key technologies I promote as the pillars of my practice include the Solea dental laser from Convergent Dental; CEREC Omnicam 3D scanning and printing from Dentsply Sirona for same-day crowns; and now, as an added service and benefit to my patients, OrthoFX orthodontic clear aligner orthodontic treatment from OrthoFX.
I have seen that orthodontic treatment is often essential to a patient’s long-term oral health. Boosting the ability to floss and brush easily, as well as relieving contact wear points preserving enamel, in my opinion, can benefit a large majority of my adult patients.
Why OrthoFX?
I was introduced to OrthoFX by my salesperson. He was passionate about the founder’s mission to provide both the best in polymer science for doctors and a patient-friendly model, offering value, convenience, and quality.
OrthoFX launched officially in June 2019 by former Invisalign executives Ren Menon, Nichole Garcia, and Henry Chan. Their combined 30 years of aligner experience allowed them to create a hybrid model that was doctor-focused and consumer-friendly. I am able to oversee the case and monitor the patient in my office, safely ensuring a better outcome. For the patient, OrthoFX is affordable, starting at $2,950, based on the complexity of the case, and an easy process to start—a win/win for all involved.
I have spent a lot of time with the executive team at OrthoFX and am inspired by their dedication to do what is right by patients and by the doctors treating them. Their unique polymer science will be discussed in detail.
Case Selection and Treatment Planning
Generally, I recommend OrthoFX to adults with mild to moderate crowding and spacing. Relapse cases also are easy to treat, and patients appreciate getting back to their perfect smile affordably. A unique aspect of OrthoFX is I can communicate directly with their clinical team (also doctors) regarding my treatment plan.
The level of service has been outstanding. I almost always receive the case setup within 24 hours of submitting the treatment plan. Once I approve the plan, the patient’s aligners are in my office within 2 weeks because they are manufactured in the United States. Patients are eager to get started, and the quick turnaround adds to the positive patient experience.
             
Table 1: Optimum forces for orthodontic tooth movement.
Fig. 1: Initial treatment plan setup with attachments.
Fig. 2: Final treatment stage.
Fig. 3: Maxillary occlusal view of initial setup.
Fig. 4: Maxillary final stage.
Fig. 5: Mandibular occlusal view of initial setup.
Fig. 6: Mandibular final stage.
Fig. 7:  Incisal view of initial setup.
Fig. 8: Incisal view of final stage.
Fig. 9: Diagram of attachment placement and IPR.
Figures 10a-b: Forces generated from activating a specific material (Figure 10a). Applying optimal force to control the root, crown, and torque in tipping of upper incisors (Figure 10b).
[ Before and After ]  After 13 weeks, both Gina and I were happy with the final results and ordered retainers (without rescanning her teeth) that she’ll now wear only at night. The total treatment length was 13 upper aligners and 11 lower aligners. The programmed velocities per aligner according to my OrthoFX clinical doctor team were: mesial/distal, 0.18 mm; sagittal movements, 0.18 mm; extrusion/intrusion, 0.15 mm; tip: 1°; torque: 0.5°; rotation, 2°.  
 PreviousNextPatient Experience and Materials Technology
Because of the materials technology, the aligners are extremely comfortable for the patients, and each stage can move predictably with 1-week wear. A scallop cut means there is no gingival impingement or irritation. OrthoFX polymer is strong on the outside, guiding teeth to proper occlusion, and compliant in the middle to avoid damaging biological tissue.
The aligners are easy to insert and remove, and thus far, I have heard no complaints regarding speech impediments or discomfort. Patient feedback is extremely positive, especially as treatment progresses predictably on track. Refinement aligners are included in the price, as are the final retainer and replacement of lost aligners. Patients appreciate knowing there won’t be additional charges or fee surprises.
Advanced Materials Research
At a recent study club meeting, I had the pleasure of meeting OrthoFX’s head of research and development (R&D), Loc Phan. His background in materials engineering built the aligner business; he was one of the first employees at Invisalign in 1997. His broad product development experience includes more than 150 patents, more than 40 of which are in the clear aligner and orthodontic space.
Phan believes that to move teeth effectively and efficiently, it is important to understand and observe the optimal force concept: an ideal range of force stimulus that would naturally move a tooth without unwanted adverse effects. Optimal force is defined as a force high enough to stimulate cellular activity without causing hyalinization in the periodontal ligament (PDL). It is the lightest force that will move a tooth to a desired position in the shortest possible time without PDL injury.1
The most challenging part is to maintain that force over the range of desired movement; in other words, a desired mechanical physical property similar to that of a superelastic nickel titanium wire.
The body would view attempts to move teeth outside the optimal force range as a foreign invasion, possibly setting off a negative immune response. Depending on its severity, that response could lead to root resorption or tooth loss.1,2 Table 1 shows the optimal forces for various orthodontic tooth movements.3
“Activation” refers to the strain placed on the aligner to generate enough force to move a tooth. An industry standard since the late 1990s, aligner activation per stage was programmed at 0.25 mm for movement, 2° for rotation, and 2° for torque. Those activation values were based on the theory that the total orthodontic movement should not exceed 1.0 mm per calendar month so that the kinetics of the alveolar osteogenesis process will not lag. It was assumed that the “virtual” tooth movement to the ideal position in the arch would mirror the real physiological outcome.
Depending on the malocclusion and predictable/nonpredictable movements programmed, interproximal reduction (IPR), and adherence, some cases treated out better than others. OrthoFX has taken a deep dive into materials research to study the effect of different materials and the impact on predictable movements as close to optimum force as possible. Their materials technology has had among the most exciting impacts on treatment outcomes and comfort.
Figure 10a, shared by OrthoFX R&D, shows the forces generated from activating a specific material for the movement of the first molar in the buccal/lingual directions. It compares 3 materials: Zendura A or similar to EX30 and 2 OrthoFX materials, FXTetra (branded) and FXTetra+.
Zendura A material is a single-layer monophasic thermoplastic polymer. Its flexural modulus is higher than that of the FXTetra and the FXTetra+ aligner materials. Zendura A is very strong, has a short range, and generates more force than what is needed.
The OrthoFX materials (FXTetra and FXTetra+) are still inside their respective elastic ranges. The impact of higher elasticity over the same force span or range are effective and efficiently move teeth, offer greater comfort with the same tight fit, and are easy to remove and insert without yielding.
The OrthoFX materials performed with such superiority because they are multilayer, specially formulated laminates. It should be emphasized that FXTetra and FXTetra+ materials were designed to deliver consistent and sustained optimal force.
Figure 10b further demonstrates the application of optimal force needed to control the root, crown, and torque in tipping of upper incisors to help develop efficiency in staging aligner movements with FXTetra and FXTetra+. Multiple layer aligner materials with varying mechanical physical properties will be ideal for treatment because every orthodontic movement requires an aligner with a different mechanical physical property profile. Furthermore, multiple aligners, each specializing a set of discrete orthodontic movement, will quickly bring the patient dentition to its final position and alignment with almost zero discomfort. “No pain, no gain” is an obsolete concept.
Effect of Materials on Treatment Success
Our study club asked Phan and the management team about the impact the aligner material has on treatment success. The answer: The material by itself would be ineffective without the treatment planning and stereo lithography 3D models of the progressing treatment stages; one cannot succeed without the others. A capable material must have as many of these 3 components as possible: strength, elasticity, and range. The material carries the force, and the activated treatment planning releases the force from the material. OrthoFX has developed a family of aligner materials that allow the doctor to progressively take the patient on an uneventful journey to the desired dental occlusion.
Adding FXTetra and customized weekly movements provides optimal and consistent force, which leads to faster treatments, fewer refinements, and less chair time. The company shared that 8 out of 10 patients with OrthoFX do not need refinement aligners.
At the time this article was written, OrthoFX included the FXOnTrack app to current treating doctors and their patients. The technology allows the doctor to track a patient’s aligner fit virtually. The company’s clinical team evaluates the patient’s photos initially, sends the doctor their findings, and notifies the patient if a visit is needed. I’m looking forward to using the technology as another tool to manage the case using the aligner staging and excellent service to our patients.
In addition to tracking the treatment progress via FXOnTrack, I can discuss updates with my patients using OrthoFX Video Visits. New patients can also request a video initial consultation. A patient requesting a free smile preview through the “Am I a Candidate” button has the option of asking for a video consultation with a nearby OrthoFX doctor. The platform’s continuous innovation evolves to meet the needs of dentists and our patients.
Business Impact for My Practice
From the business practice side, OrthoFX was easy to integrate on day 1. As with any new system, there are processes to learn and training to do with the team, but for us it was worth it. OrthoFX is different in that they collect payment directly from the patient, as well as research and process insurance benefits and financing options. This allows me to do what I enjoy the most—be a dentist. I’m reimbursed directly by OrthoFX within 5 days when the patient pays up front. There’s no lab bill, sales tax, or credit card fees, which makes my accountant very happy.
Marketing Technologies for Patient Education
My one piece of advice: Be very proactive in your approach. There is tremendous value in marketing these advanced technologies and patient offerings. For me, being the first to offer OrthoFX and other patient centric technologies has been very well received.
My practice is in Cheshire, Connecticut, where we have opportunities with social media, newspapers and magazines, and television morning shows (“CT Style”) featuring new advancements. We analyzed our patient starts from these efforts and found a 300% increase. Sharing advances in dental technology and how it benefits patients will build a practice, with an excellent return on investment.
We also converted OrthoFX graphics to canvas art that communicates to patients our light nature and the positive choice of orthodontic treatment to improve their smile. Marketing has many formats, so be active on all fronts.
Clinical Case
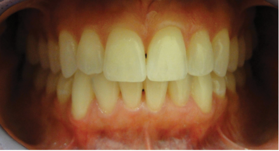
Our practice’s first OrthoFX case was our hygienist, Gina. She presented with moderate crowding (approximately 6 mm) of her upper and lower anterior teeth with slight rotation of teeth 7 to 10, as well as narrow arches in the premolar area. She wore traditional braces as a child and had relapsed over time. She wanted straighter teeth for cosmetic reasons and better spacing of her lower anterior for improved hygiene.
My goals were to improve the esthetics of her smile, level anterior teeth to ideal, and improve canine guidance, as well as achieve ideal overbite/overjet, ideal occlusion settlement, even stepwise, and even midlines (See Before and After images).
Her first appointment involved scanning with CEREC Omnicam. Her scans were submitted, and a treatment plan arrived the next day. Two weeks later her trays came in, and we placed attachments on 6 teeth (Tooth Numbers: 7, 10, 12, 22, 26, 27) and performed 0.3 mm interproximal reduction (IPR) on the distal of tooth numbers 8 and 9.
Her treatment was 13 weeks, changing each tray after 1 week. I appointed Gina to check her progress at the 7-week mark and make sure her movements were mimicking that of the treatment plan.
Final Thoughts
OrthoFX is unique in their materials technology and delivery of orthodontics to patients who want to improve their oral health and esthetics. Many companies focus on their software advances in communication with doctors, but the aligners’ physical material is just as important, if not more so. We have fully integrated OrthoFX into my practice. My entire team is on board, and we talk to patients regularly about our enthusiasm for this treatment choice.
Our patients who have said yes range in age from 30 to 70 years. Most patients can benefit from straighter teeth, and OrthoFX makes it an easy and very positive patient experience. Performance and predictability of our aligner choice affects patient outcomes.
Looking past the challenging times during a national pandemic, as we open our practices again, it’s important to continue building our OrthoFX patient base not only for revenue growth, but also for long-term dental health and satisfaction of our patients.
References
1. Mitchell L. An Introduction to Orthodontics. 3rd ed. Oxford University Press; 2007.
2. Proffit WR, Field HW, Sarver DM. 2007. Contemporary Orthodontics. 4th ed. Mosby/Elsevier; 2007.
3. Ren Y, Maltha JC, Kuiipers-Jagtam AM. Optimum force magnitude for orthodontic tooth movement: a systematic literature review. Angle Orthod. 2003:73(1):86-92. doi:10.1043/0003-3219(2003)073<0086:OFMFOT>2.0.CO;2