Fewer shades but still covered

Dental Products Report, Dental Products Report-2014-09-01, Issue 9

Since the first resin-based light-cured dental composites were introduced in the 1970s, significant advancements have been realized in resin and filler technology, and today more than 70 different brands of composite exist on the market. Today’s clinicians can be easily confused about the subtle differences between the many available composite materials and may find it more difficult to make the correct decision about which material is best for each clinical situation.1  

Since the first resin-based light-cured dental composites were introduced in the 1970s, significant advancements have been realized in resin and filler technology, and today more than 70 different brands of composite exist on the market. Today’s clinicians can be easily confused about the subtle differences between the many available composite materials and may find it more difficult to make the correct decision about which material is best for each clinical situation.1  

To simplify decision-making and to offer a composite that can insure excellent performance in all clinical situations, DENTSPLY Caulk has introduced TPH Spectra Universal Composite. This new composite is based on the resin technology of TPH3 and contains nanohybrid- and micro-filler components. The result is a composite that has the potential to perform well in either the anterior or posterior, and should have tooth-like translucency, improved polishability and color stability, and good wear resistance.2-4  TPH Spectra also comes in two handling choices: A creamy light-viscosity formulation, and a packable high-viscosity formulation. For both viscosities, the physical properties are similar. Because handling preference is subjective and highly individualized, practitioners are now able to select the right viscosity for all clinical situations. 

Trending Article: Discussing current hot topics in dental infection control

Restorative outcomes can be influenced by simplified shading options when the restorative material selected has excellent blending capability. Often called the “chameleon effect,” composite blending with adjacent tooth structure is dependent on material translucency and shade, and is most pronounced in small- to moderate-sized restorations. Building and improving from the previous TPH3 composite formulation, TPH Spectra has a refractive index that falls directly between enamel (1.63) and dentin (1.54).5-6 Put simply, this means that when light hits TPH Spectra it appears indistinguishable from natural tooth structure.
In order to make shade selection simpler, it is available in the seven most popular shades: B1, A1, A2, A3, A3.5, A4, and C2.

Recent Article: ADA 2014: Big launches and must-see products at the annual session

Clinical procedure
Intraoral exam reveals a lesion on the disto-occlusal surface of tooth No. 29 (Fig. 1). After verifying the medical history and reviewing the radiographs, a direct composite resin restoration of the disto-occlusal of No. 29 was treatment planned.  
Anesthesia was achieved with one carpule of 4% Articadent© with 1:100,000 epinephrine (DENTSPLY Pharmaceutical) via buccal infiltration. Caries excavation was completed using a 330 carbide bur on a high-speed handpiece and a #4 round bur on a low-speed handpiece. The preparation was verified caries-free with Snoop caries detector (PULPDENT Corp). A rubber dam was placed after preparation was completed.

Figure 1 and 2

Related Article: Double Take: DENTSPLY Articadent

Because of the amount of remaining enamel, a selective etch technique (DENTSPLY Caulk) was used. This technique was chosen to maximize enamel bonding while minimizing the potential for postoperative sensitivity.7-8 The enamel was etched with 34% phosphoric acid for 15 seconds and then rinsed.  
Paoldent Plus Sectional Matrix System (DENTSPLY Caulk) was utilized to isolate the restoration. An EZ-Coat matrix was placed followed by seating of the nickel-titanium ring. Lastly, the appropriately sized plastic wedge was inserted through the tines of the ring (Fig. 2).

Click here to see the results of this restoration.

Prime and Bond elect (DENTSPLY Caulk) was scrubbed into the preparation for 20 seconds followed by a 5-second air drying to remove the solvent. The adhesive was light cured for 20 seconds.

Figure 3

E-book: Dental Trends: The latest in universal adhesives

Surefil SDR flow (DENTSPLY Caulk) was used as the initial restorative layer. As a low-viscosity flowable it is capable of adapting to the prep geometry and can be placed in up to 4mm increments. After dispensing Surefil SDR flow into the preparation for tooth No. 29, it was light cured for 20 seconds.

Figure 4

On-Demand Webinar: Navigating digital impressions and CAD/CAM in the real world

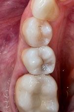
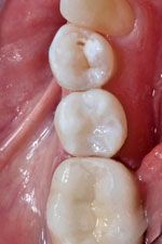
The final restoration of TPH Spectra Universal Composite was dispensed into the preparation and contoured with composite instruments (Fig. 3-4). After gross reduction with fluted composite burs and checking occlusion, Enhance Finishers (DENTSPLY Caulk) were used for final contouring and finishing of the completed restoration (Figs. 5-6).

Figure 5 and 6

Conclusion
With the introduction of TPH Spectra by DENTSPLY Caulk, dentists now have one material that can be used for all situations. As a result, practitioners no longer need to struggle with decisions of shading or selecting the material with the most appropriate physical properties. TPH Spectra’s characteristics and excellent chameleon effect will provide the dentist and patient with predictable results not only during placement at chairside but for years to come. •

References available at dentalproductsreport.com.

This article originally appeared in the September 2014 issue of Dental Products Report. For articles on upcoming products, click here to subscribe to DPR's newsletter.