© 2025 MJH Life Sciences™ and Dental Products Report. All rights reserved.
No matter how bad you think your teeth are, your dentist has likely seen worse.

Many people are afraid of the dentist. Usually, it’s because they’re embarrassed at their own lack of home care or because the dentist is usually associated with pain or discomfort. But, no matter how bad you think your teeth are, your dentist has likely seen worse.
Don't let these patients discourage you from regular dental exams. Instead, let these stories stress the importance of proper oral hygiene. Here are 5 of the most unusual (sometimes grossest) things dentists have found in their patients’ mouths.

A patient in his early 20s complained about a toothache during his appointment with Gary Glassman, DDS, an endodontic specialist based in Toronto. Dr Glassman was confused when he saw a silver filling that looked out of place. “After closer examination, I realized it was a remnant of a candy bar wrapper that was lodged in between his back molars,” Dr Glassman told Women’s Health magazine. When asked how recently he had eaten the candy bar, the patient said it had been at least 2 weeks. Dr Glassman used floss to remove the wrapper and then showed his patient how to floss properly and the importance of flossing every day.

Another patient Dr Grossman encountered came in for a root canal treatment. As he began to clean out the root, he noticed something lodged in the patient’s gums amongst the plaque and tartar. To him, it looked like a small seed. “After asking the patient a few questions, I realized it was a tomato seed sprouting a plant,” Dr Glassman told Women’s Health magazine.

Richard Weber, DMD, who practices in Tabernacle, New Jersey, had a very hands-on, do-it-yourself patient. Instead of committing to proper oral hygiene, this patient took matters into his own hands. “He had severe gum disease from not flossing and his teeth were loose and shifting around, so he decided to superglue all of his remaining teeth together,” Dr Weber said. The goal was to create a kind of glob of teeth that wouldn’t move around as much. This worked for a little while, but eventually, Dr Weber had to pull all of this patient’s teeth.

A patient with a removable partial denture had neglected to take their denture out and clean it every night. The patient had so much buildup between the teeth that the denture couldn’t even be removed, essentially cementing it in place. “We actually have to remove all the buildup first in order to remove the denture, then we were able to begin the process of cleaning things up,” Lopez Howell told Women’s Health magazine.

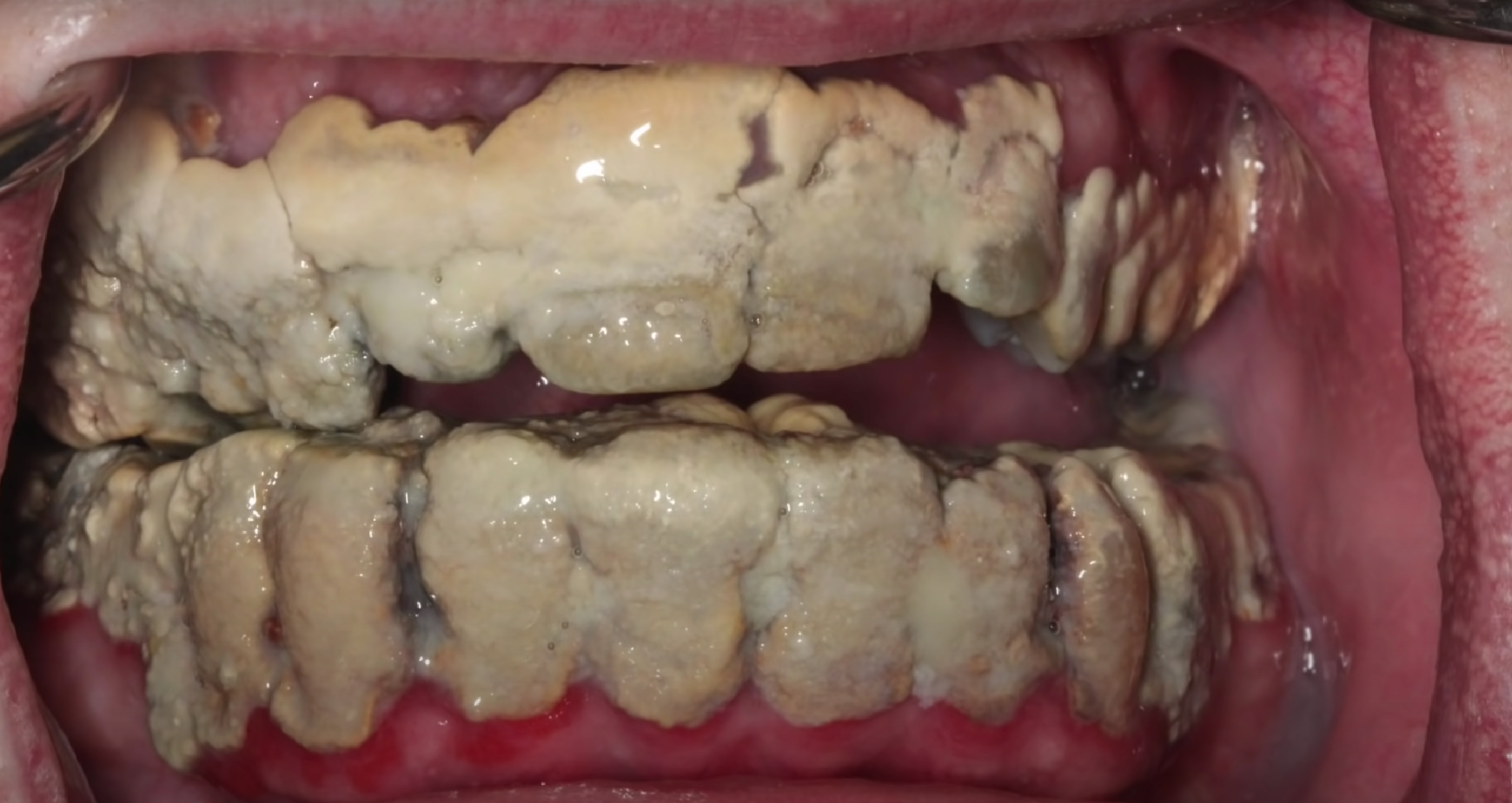
In 1 of the most extensive cases of calculus buildup he’s faced, Joseph Nemeth, DDS saw a patient who had an extreme case of dental phobia—the patient was not only afraid to visit the dentist, but he also feared brushing his own teeth. The patient is thought to have not brushed his teeth for 20 years! The build was so thick, it was masking underlying decay. “I asked him how he was able to eat because his teeth were so heavily caked with tartar. He said he just had soft food that he just kind of mashed in his mouth,” Dr Nemeth explained. The patient was placed under IV sedation while the calculus was removed, which took several hours. The procedure saved the patient’s teeth and he is still seen regularly at Dr Nemeth’s practice in Southfield, Michigan. Dr Nemeth gives a brief overview of this case on his YouTube channel.
Related Content: